Шанс за Милена

Шанс за нов живот и усмивка за Милена: Да спрем болката заедно!

3%
Дарени €270 от €8500
Двете лепти работи с 0% комисионна
3%
Дарени: €270 от €8500.00
Двете лепти работи с 0% комисионна

За кампанията

Шанс за нов живот и усмивка за Милена: Да спрем болката заедно!

​Здравейте, приятели и хора с големи сърца!

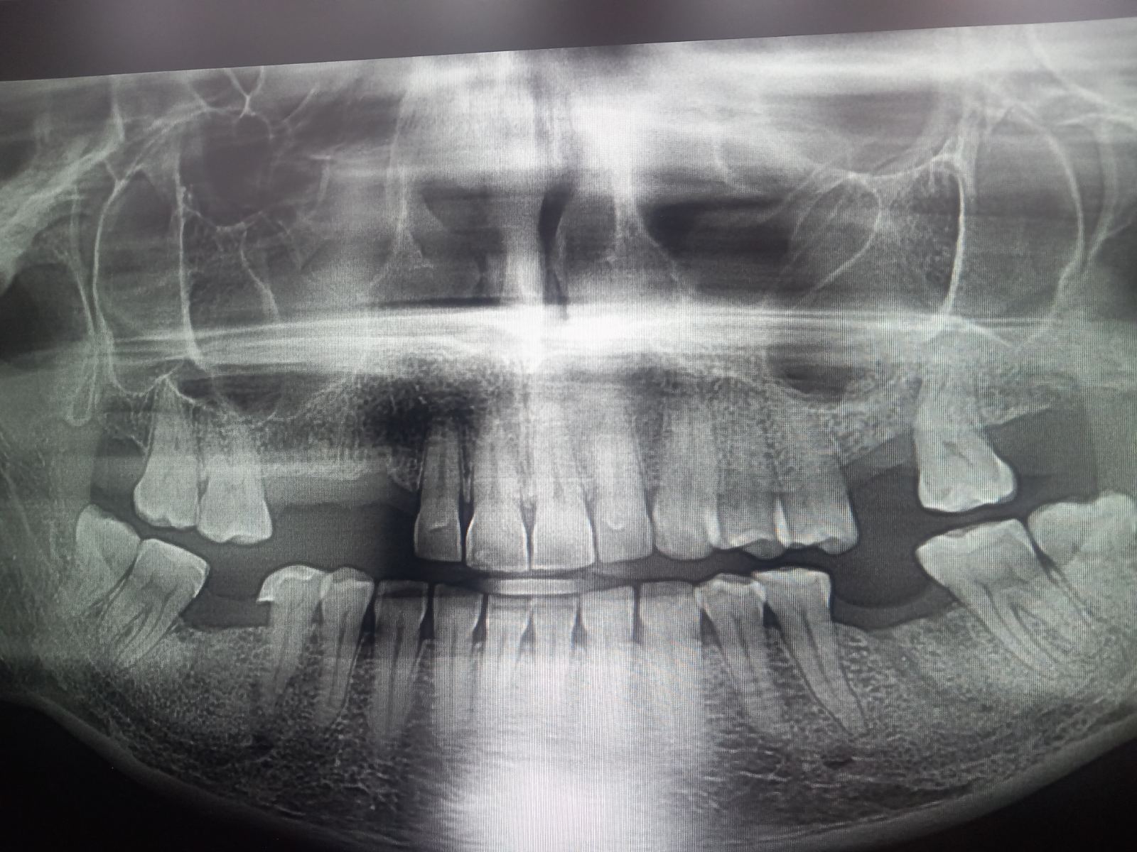
​Обръщаме се към вас с молба за помощ за една силна жена – Милена Стефанова Николова-Димова (43 г.). Милена се бори с тежко и агресивно заболяване на венците и челюстта (агресивна парадонтоза), което в последните месеци се влоши критично.

​Това, което започна като дентален проблем, се превърна в ежедневен кошмар от болка, възпаления и невъзможност за нормално хранене. Диагнозата е категорична: състоянието ѝ се влошава бързо и е нужна спешна хирургична намеса и поставяне на импланти, за да се спаси челюстта ѝ и да се спре разпространението на инфекцията.

​Защо е спешно?

Милена вече премина през болнично лечение (в УМБАЛ "Света Анна" и УМБАЛ "Медика"), но консервативните методи не са достатъчни. Всеки изминал ден без операция води до загуба на костна маса и риск от нови огнища на инфекция в организма.

​Нужната сума:

Според плана за лечение от дентална клиника "ЕО Дент", общата стойност на първия етап (операция и импланти) е 6400 евро, а последващото протезиране възлиза на още 1710 евро. Общата сума от близо € 8000 е непосилна за Милена и нейното семейство.

​Как можете да помогнете?

Милена е само на 43 години. Тя иска да живее без болка, да може да се усмихва и да води нормален живот. Всяко дарение, независимо от размера му, е крачка към нейното изцеление.

Ако нямате финансова възможност, молим ви – споделете тази кампания. Вашето споделяне може да достигне до човека, който ще подаде ръка.

​Благодарим ви, че не оставате безучастни към чуждата болка! Нека заедно върнем надеждата на Милена!

САМАРЯНИН

ДОПЪЛНИТЕЛНА ИНФОРМАЦИЯ

Средствата отиват при: В сметката на дарявания
Брой на лицата в семейството: 1

ДАРЕНИЯ

4

  1. Анонимен €10.00
  2. Анонимен €10.00
  3. Десислава Колева €50.00
  4. Василия Кастелова €200.00

Общо събрани:

€270.00

Двете Лепти | Даването Променя | Сайт за дарения | Дарителски кампании | Без комисионна

Сайтът изисква бисквитки

Бисквитките са от съществено значение за работата на сайта и за подобряване практическата работа на потребителите. Научете повече тук